Imagerie médicale : Echographie
Aujourd'hui, nous allons commencer une série d'articles sur les techniques d'imageries médicales. C'est un sujet qui me tient à coeur, car c'est dans ce domaine que je souhaiterais exercer quand je serai grand !
Quelles sont les différentes techniques d'imageries médicales ?
Nous allons les répartir selon le procédé physique utilisé :
- Échographie
- Radiographie/scanner
- Imagerie par résonance magnétique (ou IRM pour les intimes)
- Médecine nucléaire
Échographie
Pour commencer cette série nous allons parler de l'échographie. L'échographie est une technique d'imagerie absolument fondamentale en médecine. Vous connaissez certainement les échographies réalisé durant la grossesse afin de visualiser le bon développement de l'embryon puis du foetus. Les échographies sont également utilisées afin de visualiser la perfusion sanguine du cerveau, analyser le cœur, le foie, le tube digestif, la thyroïde, les organes génitaux, les veines, les artères, ... Et j'en passe !
Echographie obstétricale
Crédit : Jeremykemp, via Wikimedia Commons
Comment fonctionne l'échographie ?
Grâce aux ultrasons. Les ultrasons sont des ondes mécanique qui se propagent dans un milieu solide, liquide ou gazeux (comprenez qu'il faut de la matière, donc ils ne se propagent pas dans le vide.). Les ultrasons font partie des ondes sonores, mais pour l'homme les ultrasons ne sont pas audibles. En effet, l'oreille humaine est capable de percevoir les ondes ayant une fréquence comprise entre 20 et 20 000 Hertz (lorsque l'on est au mieux de notre forme) alors que les ultrasons ont une fréquence comprise entre 16 000 et 100 000 Hertz.
Attends, je comprends que dalle aux ondes, aux hertz...
Je ne suis pas physicien, mais je vais tacher de vous expliquer avec mes termes ce qu'est une onde.
Une onde est une perturbation périodique, réversible se propageant dans un milieu. Il en existe différents types, celles qui nous intéressent dans le domaine de la santé sont :
- Les ondes électromagnétiques (que nous verrons dans les prochains articles)
- Les ondes sonores (que nous voyons aujourd'hui)
Si vous souhaitez avoir une image de ce qu'est une onde, remplissez votre lavabo et jetez un petit objet dans l'eau, des rides vont se former à la surface et se propager.
Les ondes ont une fréquence. En effet, lorsque l'on regarde un point donnée sur la surface d'eau, nous voyons qu'à un intervalle régulier une nouvelle vaguelette arrive. Cette fréquence est exprimée en hertz (hz), 1 hertz correspond à 1 événement par seconde. Donc une fréquence de 16 000 Hertz signifie qu'à un point donnée, la perturbation aura lieu 16 000 fois par seconde.
Crédit : Wikipédia
Comment peut-on créer des ultrasons ?
L'ultrason est donc, la pierre angulaire de l'échographie. Ces ultrasons sont produits par la sonde de l'échographie via le phénomène piézoélectrique. Lorsque l'on applique un courant électrique aux matériaux qui compose la sonde, ils se déforment et créent une onde mécanique. L'ultrason généré traverse alors plus ou moins les différentes structures de notre organisme. Si elle traverse un milieu permettant sa diffusion, l'onde continue sont chemin. Si elle traverse un milieu ne permettant pas sa diffusion, l'onde est réfléchie et renvoyée vers la sonde qui, toujours par l'effet piézoélectrique, transforme l'onde sonore en courant électrique. Ce courant électrique est analysé et transformé en image par un ordinateur.
Schéma de l'effet piézoélectrique
Crédit : By Tizeff, via Wikimedia Commons
Donc pour résumer :
- Courant électrique --> Transformation via l'effet piézoélectrique --> ultrasons
- Ultrasons se propagent dans la matière jusqu'à réflection
- Ultrasons réfléchis captés par le sonde --> Transformation via effet piézoélectrique --> Courant électrique
- Courant électrique interprété par un ordinateur afin de donner une image.
Les images elles ressemblent à quoi ?
Images d'échographie pelviennes
Crédit : Anne Mousse, from Wikimedia Commons
En noir, ce sont les des milieux qui ne réfléchissent pas les ondes. On dit que ce sont des milieux hypoéchogène. Ce sont des milieux tels que les liquides (vessie, vésicule biliaire,...).
En blanc, ce sont des milieux qui réfléchissent les ondes. On dit que ce sont des milieux hyperéchogène. (paroi d'un organe, os, ...)
C'est moche... On ne peut pas y mettre un peu de la couleur ?
Il existe des traitement permettant de rendre plus "interprétable" les images pour les non-initiés... Cependant dans la pratique médicale, on ne le fait pas.
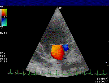
Par contre, ils nous arrivent d'utiliser un mode, le mode Doppler afin de visualiser les flux sanguins. Les flux qui se dirigent vers la sonde auront une certaine couleur tandis que ceux qui s'éloigne auront une autre couleur. Cela permet de différencier les artères et les veines par exemple.
Wahou... Ça marche comment ?
Grâce l'effet Doppler... Cet effet, on le connaît tous... Rappelez-vous quand un camion de pompiers arrive avec la sirène à fond. Le son est d'abord grave, puis plus le véhicule se rapproche de vous, plus le sons devient aiguë. Une fois le véhicule passé, le son devient à nouveau grave. Pour le conducteur du véhicule par contre, le sons est toujours identique.
L'échographie en mode doppler fonctionne sur ce procédé.
La sonde, c'est vous. Le sang représente le flux de voiture qui passe. Après analyse, la machine détermine le flux sanguin qui s'éloigne de la sonde et le flux sanguin qui s'en approche. Ensuite, l'ordinateur colore l'image.
Echographie doppler d'une valve mitrale
Crédit : Kalumet, from Wikimedia Commons
Sinon, pourquoi mettre du gel lors de l'examen ?
Car une fine couche d'air persiste entre la peau et sonde. Le gel permet de supprimer cette couche et de la remplacer par un milieu permettant une meilleure diffusion des ultrasons !
L'échographie est donc un super examen !
Oui, l'échographie est un examen extrêmement pratique :
- Non-irradiant (nous verrons dans les épisodes prochains ce qu'est l'irradiation).
- Indolore.
- Peu coûteux.
- Le matériel est mobile, donc on peut réaliser l'examen au lit du patient.
- Examen réalisé en temps-réel.
Cependant certaines limites existent :
- La corpulence du patient. Lorsque les patients ont un embonpoint, l'examen est souvent moins performant car les ondes diffusent mal.
- Opérateur-dépendant. En effet, cet examen nécessite un savoir-faire de l'opérateur pour manier la sonde et repérer les structures. Il est difficile pour quelqu'un n'ayant pas participé à l'examen de discuter des images a postériori.
Voilà, pour cet examen qu'est l'échographie, j'espère qu'il aura un peu moins de secrets à présent pour vous. Évidemment, nous n'avons vu que l'aspect fonctionnel de cet examen et il semble difficilement réalisable d'apprendre à lire les clichés sans s'entraîner régulièrement. D'ailleurs, je trouve que de tous les examens d'imagerie, l'échographie est le plus dur à interpréter.
Si vous avez la moindre question, n'hésitez pas à me contacter via les commentaires !
À bientôt !
Sources :
- http://www.jlar.com/Congres_anterieurs/JLAR2013/Atelier_echo_cardiaque.pdf
- http://ultrasonographie-vasculaire.edu.umontpellier.fr/files/2013/12/LM-Interet-echo-en-r%C3%A9a.pdf
- http://www.sfmu.org/upload/consensus/rfe_ecmu1_2016.pdf
- https://fr.wikipedia.org/wiki/Ultrason
- https://fr.wikipedia.org/wiki/Son_(physique)
- https://fr.wikipedia.org/wiki/Onde_%C3%A9lectromagn%C3%A9tique
- https://fr.wikipedia.org/wiki/Hertz
- https://fr.wikipedia.org/wiki/%C3%89chographie
- https://fr.wikipedia.org/wiki/Pi%C3%A9zo%C3%A9lectricit%C3%A9
- https://fr.wikipedia.org/wiki/Effet_Doppler
Je peux te dire que la partie physique est tres bien! Chouette article! :)
Cool ! Merci @lemouth ! J'avais peur de me perdre dans mes explications car je suis moins à l'aise dans ce domaine ! :)
A bientôt !
Superbe article qui présente le fonctionnement de cette technologie sous tous ses aspects ! Upvoté à 100% !
Merci @Francosteemvotes ! Ça fait plaisir !! :D
Sympa cette nouvelle série ! Hâte de voir la suite :)
Es-ce que ça fait longtemps que cette technique est utilisée dans le domaine médical ?
Merci @robotics101 j'espère pouvoir la poster mercredi ! :D
Très bonne question !
La première échographie aurait eu lieu en 1917 et l'application dans le domaine médical en 1951.
https://www.prsfrance.com/histoire-de-lechographie-sonde-echographique/
A bientôt !
Sympa ton article, maintenant que je l’ai lu nous sommes sur la même longueur d’onde 😜
Haha Merci @Kelos ! Je vois que l'on a également le même humour ! :D
A bientôt !
Congratulations @whentone! You have completed some achievement on Steemit and have been rewarded with new badge(s) :
Click on any badge to view your own Board of Honor on SteemitBoard.
To support your work, I also upvoted your post!
For more information about SteemitBoard, click here
If you no longer want to receive notifications, reply to this comment with the word
STOP