Tooth Decay in Toddlers: Know the Causes and How to Prevent It
Dental caries is an infectious disease that damages the structure of teeth, more commonly known as cavities. It most commonly affects children, especially toddlers, as this age group tends to have high sugar consumption and often neglects dental hygiene.
According to data from the Indonesian Ministry of Health (Kemenkes), the Free Health Check (CKG) program shows that dental caries is the most common health problem among toddlers.
So, what makes toddlers susceptible to dental caries? Compiling several sources, here are the factors that cause dental caries in toddlers.
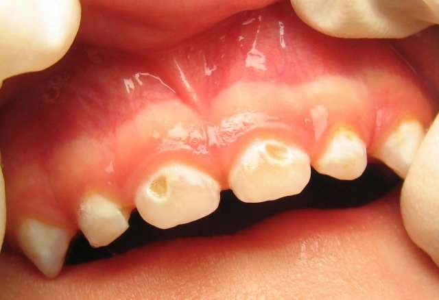
source image : esterdental.com
1.Bacteria and Plaque
Bacteria such as Streptococcus mutans convert sugars and carbohydrates into acids.
These acids erode enamel (the outermost layer of teeth).
If not cleaned, food debris and saliva form sticky plaque, a breeding ground for bacteria.
2.Improper Eating Habits
Frequently consuming sweet foods or drinks provides food for bacteria.
Sucking on candy or sweetened drinks for too long increases the exposure of teeth to acids.
Drinking drinks while sleeping, such as formula milk, causes fluids to stick to teeth and accelerate decay.
3.Lack of Dental Care and Hygiene
Not brushing your teeth regularly or correctly leads to plaque buildup.
Plaque creates an ideal environment for bacteria to produce tooth-damaging acids.
4.Lack of Fluoride
Fluoride plays a role in strengthening enamel and preventing tooth decay.
Fluoride deficiency makes teeth more susceptible to cavities.
5.Low Saliva Production (Dry Mouth)
Saliva helps wash away food debris, neutralize acids, and repair enamel.
Lack of saliva increases the risk of tooth decay.
6.Excessive Sugar Consumption
Constantly eating too many sugary foods provides a food supply for bacteria.
This causes acid to form more frequently and damage tooth enamel.
- Genetic Factors
In some children, genetic conditions make enamel thinner or more brittle, making them more susceptible to tooth decay.
Tooth decay can be prevented by taking several preventive measures. Here are some preventive measures parents can take:
1.Brush your teeth twice a day with fluoride toothpaste.
2.Limit your consumption of sugary and sticky foods and drinks.
3.Have regular dental checkups with your dentist every six months.
4.Set a good example in maintaining dental hygiene.
5.Maintain a healthy diet and ensure your child drinks enough water.
With these simple steps, you can reduce the risk of tooth decay in toddlers, thus ensuring your child's dental health from an early age.
Congratulations!
Your post has been manually upvoted by the SteemPro team! 🚀
This is an automated message.
If you wish to stop receiving these replies, simply reply to this comment with turn-off
Visit here.
https://www.steempro.com
SteemPro Official Discord Server
https://discord.gg/Bsf98vMg6U
💪 Let's strengthen the Steem ecosystem together!
🟩 Vote for witness faisalamin
https://steemitwallet.com/~witnesses
https://www.steempro.com/witnesses#faisalamin