Caries dental y su prevención
Hola amigos de Steemit. He vuelto luego de unas pequeñas vacaciones :)
En esta oportunidad quiero hablarles acerca de la caries dental; algo que afecta a todas las personas en alguna etapa de su vida.
Ahora bien, ¿sabemos qué es caries dental?
Es una enfermedad multifactorial que afecta el tejido dentario. Se produce gracias a la adhesión de microorganismos a la placa dental que, si no se elimina correctamente, estos inician una desmineralización del tejido.
En los dientes existen 3 tipos de tejido, los cuales son: esmalte, dentina y pulpa (siendo este el más importante ya que posee la inervación e irrigación, y es el único de los 3 que no se regenera). Una caries puede abarcar cualquiera de las partes del diente pero, a mayor profundidad, mayor dolor. Cuando finalmente llega a la pulpa, aparte de requerir un tratamiento restaurador, también necesita uno endodóntico (también llamado tratamiento de conducto, que consiste en eliminar la pulpa por completo) y cuya consecuencia es que el diente pierde por completo su vitalidad. Es decir, ya no tendrá nervios ni vasos sanguíneos.
¿Cómo se diagnostica la profundidad de la caries?
Los odontólogos podemos diagnosticar cualquier enfermedad que afecte tanto tejidos duros (dientes) como blandos (encías, lengua, labios, etc.) a través del examen clínico acompañado del examen radiográfico.
Examen clínico
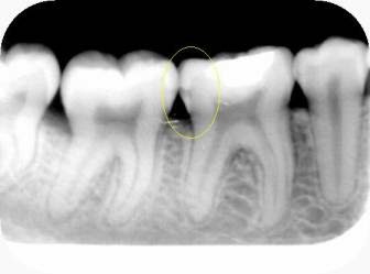
Examen radiográfico. Caries interproximal (entre dos piezas).
¿Cómo se puede prevenir?
Principalmente, una buena técnica de cepillado es el secreto para prevenir las caries. "¡Cuida tu higiene bucal!" es uno de mis post, en el que explico tanto la forma correcta de cepillarse, como el uso del hilo o seda dental, así como también el del enjuague bucal.
Espero este post haya sido de su agrado.
Recuerden siempre tener una buena higiene bucal y acudir con regularidad al odontólogo :)
Hasta la próxima!
500 free charitable coin sign up with ethereum address
https://ColourCoin.org/345304 $10 worth free
Hola @andreamejias ¿Cómo te va?
Te felicito por traer contenido propio e intentar siempre dejar la fuente de lo que tomes de internet, por esa razón espero que no te tomes a mal lo siguiente que te voy a decir.
¿Sabías que esa no es la forma correcta de dejar la fuente de imagen?
Pues si te fijas bien, ese enlace solo me lleva a la dirección de la imagen, mas no a la dirección del blog y/o autor de donde la tomaste, lo que estaría ciertamente violando los derechos de autor.
Aquí te dejo un ejemplo de lo que se considera una forma correcta de dejar la fuente de las imágenes;

Fuente
Cuando busques una imagen en Google, debes ir a la direccion de la imagen que por lo general se encuentra en un blog, luego copiar ese enlace, mas no el enlace directo de la imagen ni mucho menos el enlace de Google.
Congratulations @andreamejias! You received a personal award!
Click here to view your Board
Do not miss the last post from @steemitboard:
Congratulations @andreamejias! You received a personal award!
You can view your badges on your Steem Board and compare to others on the Steem Ranking
Vote for @Steemitboard as a witness to get one more award and increased upvotes!