These are the Notice Indications of mouth Disease, know them Before it is past the Point of no Return
Aslam O Alikum, Hi,
How are you my steemit friends today?? I am fine and happy, Hope you will be fine and happy in their love life, As you know that i always try my best to bring a unique and informative content for my stemmit friend, My today,s post is about mouth cancer ,how it attack & increase with the passage of time,Let,s read the content,,,,,,,,,,,,,,,,
.jpg)
Malignancy is most appalling sickness which execute millions consistently on the planet. The treatment of disease is expensive and as a rule there is no treatment accessible at
There are two sorts of malignancies, one of them known as favorable is which is restricted at a solitary place in the body. This sort of disease can be dealt with effortlessly however on the off chance that this kind of malignant growth isn't treated on time it turns into another sort of malignancy known as harmful tumor.
Harmful tumor or malignant growth is perilous on the grounds that it spreads everywhere throughout the body and relatively difficult to treat.
.jpg)
Mouth malignant growth is a standout amongst the most widely recognized kind of disease discovered today.
there are sure way of life factors that can put somebody in danger for this infection. Tobacco of any sort – cigarettes, stogies, funnels and smokeless tobacco – increment your hazard for oral malignant growth. Indeed, the Mouth Cancer Foundation reports 90 percent of those with oral malignant growth expend tobacco. Substantial utilization of liquor likewise expands a man's odds of creating oral malignant growth, and the NIDCR says your hazard is considerably higher when utilizing both tobacco and liquor.
Notwithstanding tobacco and liquor, age and dietary patterns can impact your hazard too. Most oral diseases happen in individuals beyond 40 and a years old, diet that is insufficient in foods grown from the ground can make it simpler to contract. Remember sun introduction can cause malignant growth on the lips. All the more as of late, there has been an ascent in a subset of oral malignant growths related with the explicitly transmitted human papillomavirus
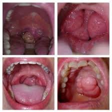
Nonstop torment in ear, mouth or face, Swallowing inside mouth, Continuous awful breath, constant hacking, loosing teeth early, seeping from mouth, and Areas of red or white sores in your mouth or lips.
In the event that any of your companion or relative is confronting any of these indications, you ought to propose them to visit a specialist before it is past the point of no return.
If you like my post please upvote and comments on it,, also give your own opinion about this post,
I,ll be with you my next post soon,,,,,,,,,,,,,,,,,,,,,,,,,,,,,,, Take care all of you.
.jpg)
thanks for sharing such kind of information at steemit platform dear @yaseenkamboh, i really like it and upovte you
i agree with your words that mouth cancer disease is increasing with the passage of time ,everyone should try to contact with the doctor regarding this issue at early stage ,,, i like your post and upovte you