Profilaktyka HIV

in #polish7 years ago

Polska jest bardzo specyficznym krajem, co podkreślane jest na każdym kroku poprzez kolejne nielogiczne decyzje polityczne. W tym rozgardiaszu cierpi edukacja jak i postawy moralne mieszkańców kraju. Egzemplifikacją takiej postawy są dane świadczące o tym, że Polska to kraj o najniższej wśród krajów europejskich świadomości na temat zakażeń HIV. Dodatkowo 50-70% osób seropozytywnych nie ma pojęcia o tym, że są zakażone (Ankiersztejn-Bartczak M., 2012)1. Sprawia to, że transmisja wirusa na kolejnego człowieka jest bardziej prawdopodobna. Wokół problematyki HIV jak i aktywności seksualnych narosło sporo mitów. Dodatkowo próba bagatelizowania HIV i twierdzenie, że jest to problem specyficznych grup społecznych dał w efekcie pandemię, która zabiła 35 milionów ludzi 2.

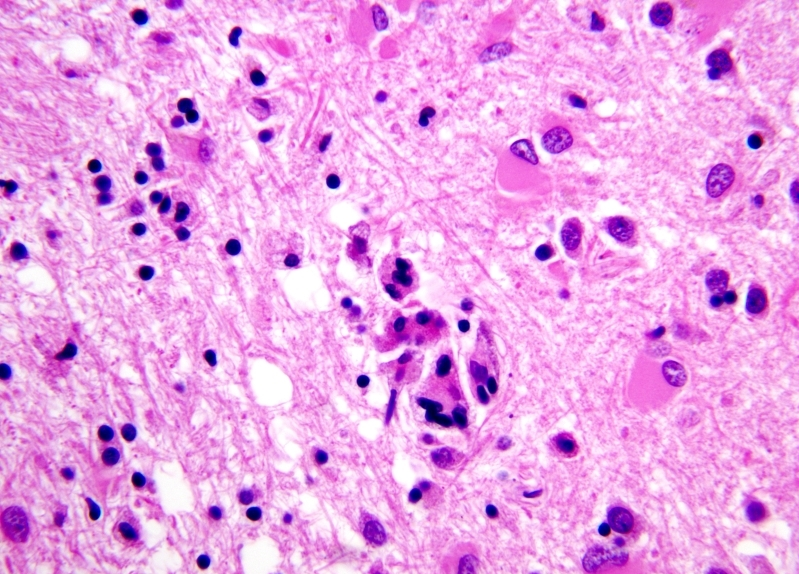
hiv encefalitis.png

Ryc. A – pewnie nie widać, ale jest to tkanka nerwowa, która nie jest do końca prawidłowa. W jej obrębie widać mikroglej, który w następstwie kontaktu z wirusem HIV uległ przemianie do wielojądrzastej komórki mikrogleju. Taki obraz jest typowy dla encefalopatii powodowanej przez HIV. Mikroglej to komórki pochodzące z mezodermy, a ich funkcja w ośrodkowym układzie nerwowym jest analogiczna do funkcji leukocytów. Jest to wyjątkowa populacja komórek na obszarze OUN, gdyż jako jedyny element tkanki nerwowej nie pochodzi z neuroepitelium.

Transmisja

W parach heteroseksualnych, gdzie jedna z osób jest zakażona wirusem HIV prawdopodobieństwo zakażenia jest większe u kobiet. Dzieje się tak na skutek obecności większej powierzchni błony śluzowej pochwy, która ma kontakt z zakażonym ejakulatem (Olczak A., Grąbczewska E., 2012)3. Taka sama zależność występuje również w przypadku receptywnego seksu analnego, gdzie błona śluzowa cieszy się szczególną obfitością. Dodatkowo spermina i kolagenaza zawarta w ejakulacie uszkadzają błonę śluzową odbytnicy ułatwiając wnikanie wirusa. Dlatego też zarówno kobiety jak i mężczyźni wybierający receptywny seks analny bez zabezpieczeń mają zwiększone ryzyko infekcji HIV w porównaniu do innych aktywności seksualnych (Alemagno A. S., et al., 1998)4. Najmniejsze ryzyko transmisji występuje w przypadkach kontaktów oralnych. Wynika to z specyficznej budowy gardła, gdzie nabłonek jest o wiele grubszy, co warunkuje lepszą barierę mechaniczną dla wirusa. Dodatkowo gardło jest w mniejszym stopniu infiltrowane przez limfocyty CD4+ oraz wydzielane są różne substancje, które hamują aktywność HIV (Patel P., et al., 2014)5.


hiv polska 2016.jpg

Ryc. B – dla 2017 roku 1526 nowych zakażeń HIV.

Profilaktyka starej ery

Jednym z pierwszych skojarzeń jakie przychodzą do głowy po pytaniu „jak skutecznie zabezpieczyć się przed HIV?” jest następujące - „nie podejmować aktywności seksualnej”. Powinno paść pytanie, dlaczego dorosły człowiek ma rezygnować z jednej ze swoich sfer życia by uniknąć zakażenia? Strach przed HIV powinien skłaniać do szukania sposobów na bezpieczne współżycie, a nie oznaczać kapitulacje przed zagrożeniem.

Strategię profilaktyczne:
  • Edukacja seksualna w szkołach (w Polsce wzbudza śmiech i politowanie).
  • Wierność i abstynencja (marzenia ludzi studiujących seksuologie z biblii).
  • Stosowania prezerwatyw (niestety nie każdy potrafi jej używać poprawnie).
  • Stosowanie lubrykantów i mikrobicydów (na ogół nikt nie zdaje sobie sprawy, że mają aktywność p/HIV).
  • Zachęcanie do powstrzymywania się przed ryzykownymi zachowaniami seksualnymi (pole, w obrębie którego da się zrobić dużo dobrego).

Statystyka zakażeń HIV pokazuje, że dotychczasowe metody profilaktyki nie są skuteczne, gdyż mimo wiedzy o tym w jaki sposób uniknąć zakażenia to i tak liczba nowych rozpoznań HIV rośnie. Edukacja ma bardzo dużą wagę w rozwiązywaniu problemów, tylko należy prowadzić ją w przemyślany sposób m.in. warto w tym wszystkim uwzględnić aspekty psychologiczne i seksuologiczne związane z popędem seksualnym.


image.png

Ryc. C - na preparacie uwidacznia się naczynie. Niby nic, ale jak spojrzymy trochę na to inaczej to powstanie coś. W sumie widzimy liczne formułujące się naczynia, a to budzi pewien niepokój onkologiczny (im więcej naczyń tym łatwiej o przerzut). Dodatkowo jak zobaczymy zmianę makroskopowo to zobaczymy niebieską lub czerwoną plamę przekształcających się w kierunku guzków. Taki obraz powstaje w przypadku niewydolności układu immunologicznego, gdzie infekcja HHV-8 daje mięsaka Kaposiego.

Profilaktyka przedekspozycyjna (PrEP)

PrEP to metoda polegająca na przyjmowaniu leków p/retrowirusowych przez osobę niezakażoną wirusem przed wystąpieniem ekspozycji na zakażenie. PrEP jest odpowiedzią na wciąż istniejące zagrożenie HIV. Zwłaszcza, że metoda ta rekomendowana jest jako jedna z najskuteczniejsza w zapobieganiu zakażenia przez WHO.

W PrEP przyjmuje się jedną tabletkę zawierającą tenofowir (TDF) i emtrycytabinę (FTC). Konsekwencja w stosowaniu leku i używanie prezerwatyw niesie ze sobą 86% zmniejszenie ryzyka zakażenia.

Główne wskazania do stosowania PrEP:
  • Kontakt seksualny z osobą o nieznanym statusie serologicznym
  • Kontakt seksualny z osobą seropozytywną.
  • Kontakt seksualny z osobą stosującą narkotyki dożylne

Istnieją dwa sposoby przyjmowania PrEP. Pierwszy opiera się na ciągłym przyjmowaniu 1 tabletki dziennie przez czas w jakim jest wystawiony na narażenie np. partner HIV-pozytywny. Drugi sposób to doraźne zastosowanie 2 tabletek na 2-24 godzin przed ekspozycją i po jednej tabletce na 24 oraz 48 godzin po przyjęciu pierwszej dawki. Ten drugi sposób ma szczególne znaczenie w przypadku, gdy dopuszczamy możliwość receptywnego seksu analnego. Dzieje się tak, gdyż profilaktyczne stężenie TDF w błonie śluzowej odbytnicy osiągane jest w ciągu jednego dnia, natomiast w pochwie po 3-7 dniach stosowania. Dodatkowo stężenie TDF jest 100 razy wyższe w odbytnicy niż w pochwie oraz utrzymuje się dłużej (Boroń - Kaczmarska A., Wiercińska – Drapało A., 2017).

Zagrożenia związane z PrEP istnieją wyłącznie w sytuacji, gdy profilaktyce poddana jest osoba już zakażona HIV. W takiej sytuacji może dojść do oporność szczepu HIV na podawane leki, co znacząco osłabi dalsze możliwości terapeutyczne. Dlatego ważne jest oznaczenie przeciwciał anty-HIV i antygen p24 oraz wykluczenie wczesnej choroby retrowirusowej. Aspekt związany z opornością powoli traci swoje znaczenie. Dzieje się tak, gdyż aktualnie na rynek zostaje wypuszczony lek, który mimo przynależności do tej samej grupy substancji, co TDF to nie wykazuje krzyżowej oporności. Zatem można go stosować w przypadku zmutowanego szczepu HIV.

Jest również możliwość zastosowania leków p/retrowirusowych w ramach „profilaktyki poekspozycyjnej”. Należy ją wdrożyć do 48 godzin od narażenia (Rymer W., et al., 2016)6.